Case presentation
The case is a mid-RCA CTO, with a blunt proximal cap, 25-30mm length, good distal landing, ipsilateral bridging collaterals, and epicardial collaterals from an A-C epicardial channel LCX ( Video 1). A cross boss catheter (Boston Scientific, USA) was advanced in a fast-spin technique ( Figure 1) and further advanced deeper to place a Gide wire of Miraclebros 12g (Asahi Intecc, Japan) ( Figure 2).
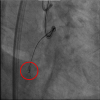
Over the wire, a Stingray balloon (Boston Scientific, USA) was safely advanced and inflated with a side view projection in LAO projection ( Figure 3). Directing the tip of a Stingray wire in RAO projection allowed the tip punctured toward the ventricular side (red circle in Figure 4). Further advancement resulted in a subintimal space ( Video 2).
Rotation of the tip toward the atrial side in RAO (red arrow in Figure 5) allowed the wire to slide into a retrogradely visualized lumen ( Video 3), and the LAO projection confirmed the wire position ( Video 4).
Pull back IVUS from a distal revealed a wire in the distal true lumen; the true lumen abutted a large hematoma in the middle and back to a true lumen in the proximal segment ( Video 5). After the Guidewire was exchanged to a workforce wire of a Sion (Asahi Intecc, Japan), incremental balloon dilation and 3 DES deployments were obtained with an excellent result of recanalization ( Video 6).
The case highlighted the importance of wire direction to puncture once an ADR is applied for distal true lumen re-entry.







